
Bacterial Diseases: The global problem of infectious and deadly diseases caused by bacteria is becoming one of the major scientific and medical issues at present.
What are bacteria? It is a unicellular micro-organism classified under domain eukarya as Monera kingdom. From microscope perspective, Bacteria do have cell walls but no organelles or nucleus.
There are different types of bacteria (good & bad), but we will explore a list of scary diseases caused by harmful bacteria on this page.
History of Bacterial Diseases: There were many pieces of evidence in books and sculptures of these bacterial diseases from ancient Egyptian and ancient Chinese times (3000 BCE) for hundreds of years. Though we live in the modern world with innovation in medicine and biotechnology, the leading cause of death worldwide remains to be bacterial infections. Learn more about the history here.
The diseases listed below are considered the most life-threatening list of bacterial infections that even some of the most potent present-day antibiotics can’t kill.
Table of Contents
News Alert: Rare Bacterial Infection On News
In May 2017, an Aquarium in Vancouver, BC had a bizarre incident where a little girl was grabbed into the water by a sea lion and that video went viral on social media. According to the Aquarium officials, the girl could have contracted a rare bacterial disease called “Seal Finger.” A particular type of bacteria called Mycoplasma bacteria lives in the sea mammals’ mouth. In the Aquarium incident, the bitten girl contracted this bacteria from the sea lion’s bite. If this disease kept untreated, then the infected person could lose fingers and even limbs.
You can watch that viral video here:
Top 14 Bacterial Diseases
Here are the types of bacterial diseases caused by various causative agents from the world of bacteria.
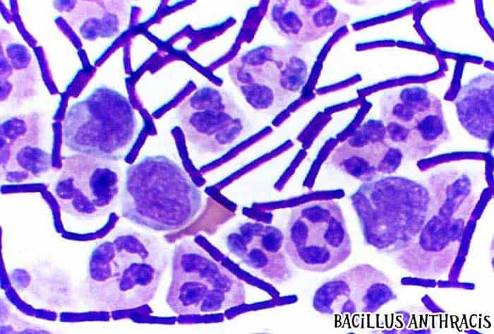
1. Anthrax
Causative agent: Bacillus anthracis.
The first bacterial disease in this list is anthrax, a severe infection caused by the rod-shaped, Gram-positive bacterium Bacillus anthracis (refer to all shapes of bacteria here). Anthrax comes in three forms: lung anthrax or pneumonia, skin anthrax, and intestinal anthrax. All of these forms when not treated immediately can result to death.
- In most cases, the anthrax bacterium lives as spores and can be found in the soil. By staying in this form, the bacteria can live for a long period and become resistant to heat and radiation.
- This bacterium is often used in bioterrorism. Terrorists release the spores of the bacteria in crowded and public spaces or sometimes send letters which contain the spores.
![]()
2. Tetanus
Causative agent: Clostridium tetani.
The next bacterial illness is also known as lockjaw, tetanus is a fatal bacterial infection that affects the brain and the nervous system. It is caused by the bacterium Clostridium tetani that produces a toxin that paralyzes muscles.
- This infection can cause the spasms and even respiratory difficulties, resulting from the toxin interfering with the nerves involved in movement.
- Common sources of the bacteria include contaminated saliva or fecal matter, unsanitary surgical procedures, animal and insect bites.
![]()
3. Leptospirosis
Causative agent: Leptospira sp.
Leptospirosis is a bacterial infection that can be obtained when the eyes, nose, or an open wound is exposed to soil or water that is contaminated with the bacteria. This bacteria is commonly found in animal urine.
- When left untreated, this infection can damage the kidney, liver, lungs, and even the brain. In worst cases, it may cause death.
![]()
4. Tuberculosis
Causative agent: Mycobacterium tuberculosis.
Tuberculosis is a highly contagious disease that infects the lungs. It symptoms include fever, weight loss, night sweats and persistent cough that may last for many months.
- The causative agent of tuberculosis (or commonly called TB) is an airborne pathogenic bacteria that can be transmitted from one person to another via sneezing and coughing.
![]()
5. Pneumonia
Causative agent: Klebsiella pneumoniae.
Pneumonia is an infection in the lungs and can be caused by bacteria, viruses, or even fungi. In the case where the lungs get infected with the bacterium Klebsiella pneumoniae, the alveoli (air sacs) of the lungs become filled with pus, making it hard to breathe.
- Symptoms of this infection include cough with phlegm, shortness of breath, chest pain, fever, and night chills.
![]()
6. Cholera
Causative agent: Vibrio cholerae.
Cholera is a type of bacterial disease that is often characterized by watery diarrhea and severe dehydration. When left untreated, it can lead to death.
- This infection is caused by consuming water or food that is contaminated with the bacterium. The bacterium Vibrio cholerae, which is commonly found in environments with poor sanitation, produces the toxin that poisons the intestines.
![]()
7. Botulism
Causative agent: Clostridium botulinum.
Botulism is a rare yet extremely fatal bacterial disease caused by the bacterium Clostridium botulinum. Basically, this bacterium produces the substance botulinum, a type of lethal neurotoxin that paralyzes different muscles.
- Botulism occurs in many types: food borne, wound, infant, and respiratory. Food borne botulism is the most common and also the most deadly.
- Interestingly, the causative agent of this infection is also the same bacterium that is used to produce the “anti-ageing” product Botox.
![]()
8. Pseudomonas Infection
Causative agent: Pseudomonas aeruginosa.
Caused by the common bacterial pathogen Pseudomonas aeruginosa, pseudomonas infection targets the respiratory system. Here, the bacterium damages the lungs and worsens the conditions of people with cystic fibrosis.
- The bacterium is ubiquitous and therefore can infect people in many ways. It can be obtained by using contaminated surgical equipment, may spread through food, or even transmitted via physical contact.
![]()
9. MRSA Infection
Causative agent: Methicillin-resistant Staphylococcus aureus.
The bacterium Staphylococcus aureus is a naturally occurring bacterium present in our noses. However, a different strain of that bacterium, known as the MRSA or Methicillin-resistant Staphylococcus aureus (biofilm), has evolved to become insensitive to the antibiotic methicillin. Because the bacterium is very resistant to even the most powerful antibiotics, it has been dubbed as the “superbug“.
- The infection caused by this bacterium can be very fatal and hard to treat. The bacterium can infect the lungs, urinary tract, and even the bloodstream.
![]()
10. E.Coli Infection
Causative agent: Escherichia coli.
As its name suggests, E.coli infection is caused by the fecal coliform bacterium E.coli. The symptoms of the infection are similar to diarrhea that is accompanied by a very high fever.
- The severity of diarrhea during this infection can range from watery to bloody.
- When left untreated, the bacteria may damage other organs like the kidney. Such can result to permanent disability or even death.
![]()
11. Meningitis
Causative agent: Neisseria meningitidis, Listeria monocytogenes, Streptococcus pneumoniae, E.coli.
Meningitis is a type of bacterial disease in the body that affects the brain and the spinal cord. During the infection, the bacterium causes swelling of the meninges (protective membranes) around the said organs.
- The bacterium is generally transmitted from one person to another via coughing and sneezing. It can also be transmitted by an infected mother to her child during labor or birth.
- The usual symptoms include stiff neck, nausea, vomiting, confusion, and increased sensitivity to light.
![]()
12. Gonorrhea
Causative agent: Neisseria gonorrhoeae.
Also called as “the clap“, gonorrhea is the second most prevalent sexually transmitted disease (AIDS is first) in the United States. It is caused by the bacterium Neisseria gonorrhoeae that gets transmitted during sexual contact.
- Gonorrhea, when left untreated can cause severe complications. In women, complications like the infection of the fallopian tubes and uterus may occur. In men, the bacterium may cause the infection of the epididymis. According to 2012 systematic review and global reporting, this bacterial infection in men affects about 0.6% of the population worldwide whereas in women, it is about 0.8% of the population. In both sexes, infertility is the most serious complication.
![]()
13. Bubonic Plague
Causative agent: Yersinia pestis.
Caused by the bacterium Yersinia pestis, bubonic plague is considered to be the most common type of plague. This bacterial disease is usually characterized by the swelling of lymph nodes (called buboes) in the groin and armpits.
- The bacterium is usually transmitted by the infected flea. Historically speaking, the bubonic plague is considered to be one of the deadliest bacterial infections as it killed more than 50 million people in the 1300s.
![]()
14. Syphilis
Causative agent: Treponema pallidum.
Last but not the least is another bacterial disease transmitted via sexual activity. The bacterium Treponema pallidum can also be transmitted via physical contact and prolonged kissing. Moreover, infected pregnant mothers can pass the bacterium as well as the infection to their babies during labor and birth.
- Syphilis spread from sores and can cause damage organs like the eyes, brain, and joints.
![]()
The bacterial diseases listed above are caused by some of the most terrible bacteria on Earth. At present, various research and development are being done to develop a medicine that can be used to fight and eradicate them. But while they are still in the works, the best thing you could do is prevent yourself from getting infected. Kill them before they might kill you!
![]()






























Smallpox is NOT a bacterial disease. It is caused by a virus.
Good catch Igor. It has been removed from the page.